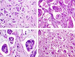
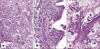
Adenocarcinoma
Feature
The most common type of adenocarcinomas comprises breast, lung, prostate, colorectal, and pancreatic. Adenocarcinoma of the lung can present with a chronic dry cough, dyspnea, hemoptysis, weight loss, or as an incidental finding on routine imaging.



