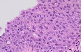
Urothelial carcinoma
Feature
the urothelial or transitional character of cells of urothelial carcinoma include the presence of longitudinal nuclear grooves that are often appreciable usually only in low-grade tumors, but are absent to only focally present in high-grade tumors.



